Quantum Dots in Denmark
Noah Huffman, a junior majoring in physics, is studying quantum dots at the Niels Bohr Institute in Copenhagen as part of the Summer Undergraduate Research Fellowships (SURF) program.
Quantum dots are nano-scale structures made of semiconductors that can emit light on demand. They can be tuned to emit single photons of specific frequencies. The research has applications in quantum computing.
Learn more about quantum computing research at Caltech here.
Though most students are off campus for the summer months, Caltech is hardly quiet. All summer long, the campus hosts students involved in undergraduate research, sponsors internships, and engages in outreach to the surrounding communities.
Building Better Batteries
Danh Ngo, a junior majoring in chemistry, and Devi Ganapathi, a senior majoring in chemical engineering, show how they're working together to develop more powerful batteries for storing energy from solar panels. Ngo and Ganapathi are both doing their research through the Summer Undergraduate Research Fellowships (SURF) program. Ganapthi's research is also part of the JPL Visiting Student Research Program.
Yvette Sei, a rising junior from Brandeis University with double majors in French and politics, is at Caltech this summer participating in the Summer Undergraduate Research Fellowships (SURF) program. Sei is studying the decline of serfdom in France during the Medieval era. She aims to determine why serfdom declined, and how the decline affected the lives of the French peasantry.
She is conducting her research with Tracy Dennison, professor of social science history.
Going with the Flow
Sarah Steele, a sophomore majoring in planetary science, has been studying laboratory models to gain insight into what effects rising sea levels will have on river deltas.
Steele has been working in the lab of Geology Professor Michael Lamb with graduate student Austin Chadwick to study avulsions—events in which a river suddenly jumps its banks and begins following a new path. Her models use dye to show how water flows through a simulated delta.
Finding the Theory of Everything
Yeorgia Kafkoulis, a junior majoring in math, is spending her summer trying to reconcile quantum mechanics and the theory of relativity. She and her advisor, mathematics professor Matilde Marcolli, are working with a model that imagines the universe as a collection of "bubbles" in a fractal arrangement. Kafkoulis' research is sponsored by the Summer Undergraduate Research Fellowships (SURF)program.
Local Students Get the Caltech Experience
Beverley McKeon, the Theodore von Karman Professor of Aeronautics, is hosting eight interns from local schools at GALCIT through the Base-11 program, which aims to provide "high-potential, low-resource college and high school students" with hands-on STEM educational opportunities. While on campus, the students have built a miniature Mars rover, visited research labs, practiced their interviewing skills, and enhanced their skill sets.
Here, they watch a demonstration of the chain fountain phenomenon, a popular physics puzzle.
Insect Pheromones
Cody Lim, a junior majoring in bioengineering, is interning at Provivi, a Caltech startup in Santa Monica with a focus on pest control. Lim, as part of his Summer Undergraduate Startup Internship (SUSI), is researching how insect pheromones might be used as a safer alternative to traditional pesticides.
Beverley McKeon, the Theodore von Karman Professor of Aeronautics, is hosting eight interns from local schools at GALCIT through the Base-11 program, which aims to provide "high-potential, low-resource college and high school students" with hands-on STEM educational opportunities. While on campus, the students have built a miniature Mars rover, visited research labs, practiced their interviewing skills, and enhanced their skill sets.
Here, they watch a demonstration of the chain fountain phenomenon, a popular physics puzzle.
Is Your Body Making you Depressed?
Sam Jensen, a Brigham Young University senior majoring in bioinformatics, is at Caltech researching how a person's awareness of how their body feels might be linked to disorders like depression and anxiety.
Through the Amgen Scholars program, she has been able to work in the lab of Ralph Adolphs, the Bren Professor of Psychology, Neuroscience, and Biology; the Allen V. C. Davis and Lenabelle Davis Leadership Chair, and director of the Caltech Brain Imaging Center.
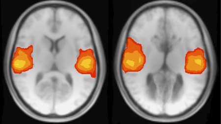
The Effects of Brain Defects
Tenzin Yin, a University of Florida senior double majoring in philosophy and interdisciplinary computational neuroscience, is researching brain activity in people with a birth defect called agenesis of the corpus callosum. The corpus callosum is a structure that connects the two hemispheres of the human brain.
Through the Amgen Scholars program, she is working in the lab of Ralph Adolphs, (PhD '92), Bren Professor of Psychology, Neuroscience, and Biology; Allen V. C. Davis and Lenabelle Davis Leadership Chair and director of the Caltech Brain Imaging Center
A Second Chance at Sight
David Lin, a junior majoring in electrical engineering, has been working on improving retinal implants that could help restore sight to people who suffer from visual diseases like macular degeneration.
In the lab of Yu-Chong Tai, Caltech's Anna L. Rosen Professor of Electrical Engineering and Mechanical Engineering, the Andrew and Peggy Cherng Medical Engineering Leadership Chair, Lin has helped develop gold and platinum electrodes for the implants.
Designing Artificial Wood
Sarah Antilla, a senior majoring in chemical engineering, is working with Chiara Daraio, professor of mechanical engineering and applied physics, to create artificial wood products. To do that, Antilla grows tobacco cells in the lab and blends them with carbon nanotubes. The mix is then pressed and dehydrated. The final product is a material similar to wood but with special properties, like the ability to conduct electricity. The material could find applications in sensors or even touch screens. Antilla's research is sponsored by the Summer Undergraduate Research Fellowships (SURF) program.
